HOMEがん・腫瘍科
  • 港区港南・品川エリアの動物病院 芝浦港南動物病院の画像 総合診療科
  • 港区港南・品川エリアの動物病院 芝浦港南動物病院の画像 がん・腫瘍科
  • 港区港南・品川エリアの動物病院 芝浦港南動物病院の画像 整形外科
  • 港区港南・品川エリアの動物病院 芝浦港南動物病院の画像 脳神経外科・椎間板ヘルニア
  • 港区港南・品川エリアの動物病院 芝浦港南動物病院の画像 消化器科・内視鏡検査
  • 港区港南・品川エリアの動物病院 芝浦港南動物病院の画像 循環器科・心臓病科
  • 港区港南・品川エリアの動物病院 芝浦港南動物病院の画像 皮膚科
  • 港区港南・品川エリアの動物病院 芝浦港南動物病院の画像 歯科
  • 港区港南・品川エリアの動物病院 芝浦港南動物病院の画像 痛み外来
  • 港区港南・品川エリアの動物病院 芝浦港南動物病院の画像 予防医療
  • 港区港南・品川エリアの動物病院 芝浦港南動物病院の画像 健康診断
  • 港区港南・品川エリアの動物病院 芝浦港南動物病院の画像 高度画像診断・CT/MRI
芝浦動物医療センター 芝浦海岸動物病院
新橋&浜松町動物医療センター 芝公園動物病院
目黒動物医療センター  目黒動物病院
品川動物医療センター  大崎動物病院

がん・腫瘍科

当院では様々ながんに対する、内科治療、抗がん剤治療、レーザー治療、外科治療、対症療法を行っております。近年では医療も進み、完治するがんの種類もあります。
血液検査やレントゲン検査、超音波検査、内視鏡検査、細胞診検査、病理組織検査、場合によってはCTやMRIを撮影し診断します。
診断がついた腫瘍に対しての治療方法を、その動物にとって一番いい治療方法を飼い主様と一緒に考え選び、治療にあたっております。

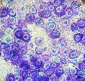
細胞診検査について

通常体表にある腫瘍で、一番始めに気づくのはしこりです。
腫瘍科診療の進め方は、まずこのしこりに対しての検査として細胞診を行います。
細胞診とは、細い針を用いて、しこりの一部の細胞を採取します。
その細胞を顕微鏡で見て、腫瘍なのか、腫瘍ではないのか、腫瘍であった場合、何の種類の腫瘍なのかを予測します。
予測をたて、飼い主様と相談しながら、その後の治療を考えていきます。

細胞診の例

リンパ腫

肥満細胞腫

外科手術症例

気管内に発生した腫瘍により呼吸困難を呈し、開胸減容積手術により呼吸改善がみられた一例

来院時のレントゲン胸部レントゲン写真です。
赤丸の部分が気管内に腫瘍が占拠して呼吸困難になっている原因です。

呼吸困難にて窒息寸前でしたので、まずは緊急処置として、麻酔下にて気管内に
カテーテルを通し、腫瘍を吸引し、少しでも空気が通れる気道を作ります。(赤丸)
この処置で一時的に呼吸は楽になりましたが、長くはもたないため、開胸手術にて、
気管内の腫瘍を摘出します。

手術写真です。第3~第4肋間開胸アプローチにて、気管腫瘍(黄色矢印)を露出します。
緑矢印が正常な気管の部分です。腫瘍は迷走神経(右下青矢印)、前大静脈(左下青矢印)、奇静脈(左上青矢印)
を巻き込んでいるのがわかります。

迷走神経、前大静脈、奇静脈を傷つけないように、気管のみを癒着から剥離していき、気管を遊離させます。

この部分の気管腫瘍の全摘出は不可能なため、気管内の腫瘍の減容積手術を行います。
ただし、この間(気管分岐部切開から腫瘍摘出、気管分岐部縫合の間)は無呼吸での手術となりますので、早急に
行わなければいけません。
まず、気管の腫瘍部分より、肺に近い気管分岐部分に切開をいれ、気管内の腫瘍をできる限り摘出します。
その後、気管と同じ太さのカテーテルを通し残りの腫瘍の吸引を行い、気道の導通確認を行います。
気管分岐部縫合を行い、すぐに呼吸を開始します。

閉胸を行い、最後に胸腔チューブを設置し、手術後は定期的な抜気管理となります。

手術後のレントゲン写真です。
気道内の占拠していた腫瘍がなくなり、気管がほぼ正常の太さになっています(赤丸)。
手術後は呼吸も楽になり、苦しくなく生活をしています。

右下顎骨に扁平上皮癌が発生し片側下顎骨全摘出術を行った一例

   右下顎骨に腫瘍が発生し口が閉じることが
   できず、食べ物が食べられない状態

腫瘍の細胞診写真
 

  下顎骨部分のレントゲン写真です。右の下顎骨が腫瘍に破壊され、なくなっています。
  破壊された右下顎骨の周囲には腫瘍による骨増生がみられます。

         手術中写真①
    腫瘍部分がかなり固くなっており、
    強く炎症を起こしています。

      手術中写真②
右下顎骨中央部に大きな腫瘍が形成されています。
 

         手術中写真③
  右下顎関節を脱臼させ、片側下顎骨全摘出術を
  行っているところです。

       手術中写真④
 片側下顎骨全摘出術を行って、腫瘍を全て摘出
 したところです。

手術中写真⑤
右下顎骨を摘出後、ご飯が食べられるように、咀嚼筋の再建術を行い、
また、片側下顎骨全摘出を行うと、ヨダレが常に垂れたり、舌が出っぱなしに
なってしまうので、それを防ぐために新たに口唇形成術を行います。

摘出された右下顎骨です。かなり広範囲に腫瘍に侵されています。

胃がん: 胃がんにより毎日頻回の嘔吐を繰り返していた症例

  胃にできた癌。丸く赤く変色している場所(黄色の丸)が癌の場所。

胃がんを摘出し、縫合

摘出した胃がん

小腸に発生したリンパ腫:リンパ腫により腸閉塞を起こした症例

  大きく腫れたリンパ腫(黄色丸)により腸閉塞
  を起こし、周りの小腸に小さく無数にリンパ腫
  が転移(緑丸)している様子。

 できる限りリンパ腫の浸潤している小腸を切除
 し、正常な小腸と小腸を吻合した写真
 

切除された、小腸のリンパ腫

大腸がん:大腸がんが破裂して腹膜炎を起こしていた症例

  右の黒く変色している場所が大腸がんの
  破裂している場所。

  癌の部分を切除し、正常な大腸と大腸を吻合
 

切除された大腸がん

浸潤性脂肪腫: 腹腔内に発生した脂肪腫が腹部臓器を圧迫し、重症となった症例

手術前(腹部が大きく膨らんでいます)

腹腔内を占拠している脂肪腫

腹腔内脂肪腫の摘出

摘出された脂肪腫

精巣腫瘍: 潜在精巣であった腹腔内の精巣が腫瘍化し、頻回嘔吐を繰り返していた症例



左の精巣が腹腔内の精巣腫瘍。  右の精巣が本来の位置に残されていた精巣

精巣腫瘍: 皮下にあった潜在精巣が腫瘍化した症例



線維肉腫: 乳腺部に発生した線維肉腫が破裂し、痛みを伴っていた症例

手術前の写真

手術写真①

手術写真②

線維肉腫を摘出し縫合

摘出された線維肉腫

乳腺癌: 乳腺癌を摘出した犬の症例

乳腺癌 ( 症例-1 )

左の最後乳腺に発生した乳腺癌

手術写真①

手術写真②

手術写真③

手術写真④

摘出された乳腺癌

乳腺癌: 乳腺癌を摘出した猫の症例

乳腺癌 ( 症例-2 )

最後乳腺部から広範囲に発生した乳腺癌

手術写真①

手術写真②

手術写真③

摘出された乳腺癌

腎臓に発生した腫瘍

腎臓に発生した腫瘍 ( 症例-1 )

指で掴んでいるのが腫瘍化した腎臓

正常側の腎臓

腫瘍化した腎臓

腎臓に発生した腫瘍 ( 症例-2 )

手術中の腫瘍化した腎臓の写真

摘出した腎臓の写真①

摘出した腎臓の写真②

摘出した腎臓の写真③

摘出した腎臓の割面写真

肝臓がん

肝臓がんにより食欲不振、嘔吐を繰り返していたため、摘出手術を行った症例

がんに侵された肝臓

摘出された肝臓

脾臓に発生した腫瘍

脾臓にできた血管肉腫が腹腔内で破裂を起こし、摘出を行った症例

腫瘍に侵された脾臓

血管肉腫が破裂していた部分

摘出された脾臓の血管肉腫

口腔内腫瘍

口腔内に悪性黒色腫が発生し、摘出を行った症例

口腔内は発生した悪性黒色腫の写真①

口腔内は発生した悪性黒色腫の写真②

口腔内腫瘍摘出後の写真①

口腔内腫瘍摘出後の写真②

肛門周囲の腫瘍

肛門付近に肛門周囲腺癌が発生し摘出を行った症例

肛門部に発生したがん

腫瘍を摘出した時の手術中写真

新たに肛門を再建している手術中写真

手術終了時の写真

頚部に発生した腫瘍

顔面部付近の頚部に発生した線維肉腫の摘出を行った症例

頚部に発生した線維肉腫

手術中の写真①

摘出し、縫合終了時の手術中写真

摘出された腫瘍