HOME歯科
  • 港区港南・品川エリアの動物病院 芝浦港南動物病院の画像 総合診療科
  • 港区港南・品川エリアの動物病院 芝浦港南動物病院の画像 がん腫瘍科
  • 港区港南・品川エリアの動物病院 芝浦港南動物病院の画像 整形外科
  • 港区港南・品川エリアの動物病院 芝浦港南動物病院の画像 脳神経外科・椎間板ヘルニア
  • 港区港南・品川エリアの動物病院 芝浦港南動物病院の画像 消化器科・内視鏡検査
  • 港区港南・品川エリアの動物病院 芝浦港南動物病院の画像 循環器科・心臓病科
  • 港区港南・品川エリアの動物病院 芝浦港南動物病院の画像 皮膚科
  • 港区港南・品川エリアの動物病院 芝浦港南動物病院の画像 歯科
  • 港区港南・品川エリアの動物病院 芝浦港南動物病院の画像 痛み外来
  • 港区港南・品川エリアの動物病院 芝浦港南動物病院の画像 予防医療
  • 港区港南・品川エリアの動物病院 芝浦港南動物病院の画像 健康診断
  • 港区港南・品川エリアの動物病院 芝浦港南動物病院の画像 高度画像診断・CT/MRI
芝浦動物医療センター 芝浦海岸動物病院
新橋&浜松町動物医療センター 芝公園動物病院
目黒動物医療センター  目黒動物病院
品川動物医療センター  大崎動物病院

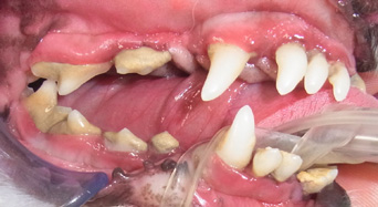
歯科

動物は人と違い、毎日歯磨きをすることが困難です。ですから、人の何十倍も歯科疾患が多いのです。歯科といってもただ歯の病気だけで終わるものではありません。歯肉炎、歯周炎を放っておくと、菌が全身に蔓延したり、脳の方まで菌が入り込んでしまう事もあります。早期の治療も大事なのですが、一番大事なのは予防です。当院では定期的な歯石除去(スケーリング)を行っております。
また、歯石除去と同時に歯根治療も行う事ができます。

歯石除去前

歯石除去後